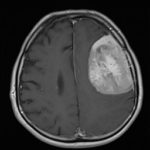
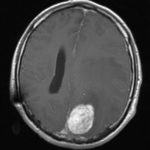
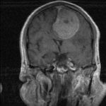
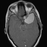
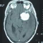
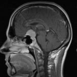
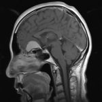
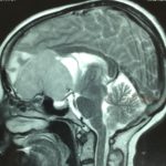
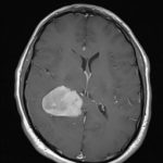
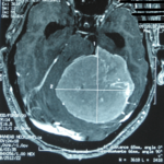
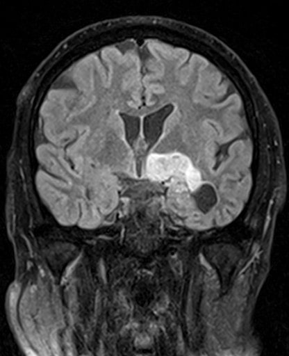
Cette masse peut entrainer notamment :
- Une irritation du cerveau qui se manifeste par une épilepsie
- Une compression voire destruction d’une partie du cerveau causant un affaiblissement ou une perte d’une fonction du cerveau
- Une augmentation de la pression à l’intérieur du crâne (espace inextensible à l’intérieur duquel vient s’ajouter le volume de la tumeur), ce qui va se manifester initialement par des maux de tête d’aggravation progressive qui vont s’associer à des nausées, des vomissements, des troubles visuels… Cet état peut aboutir à la perte de la vue dans les formes d’évolution lente et au décès dans les formes d’évolution rapide.




































